スタッフブログ・症例紹介

タッフブログ

🌸4月無料相談会のお知らせ👒
  • スタッフブログ
  • 2026.04.06

🌸4月無料相談会のお知らせ👒

🎎3月無料相談会のお知らせ🎎
  • スタッフブログ
  • 2026.03.09

🎎3月無料相談会のお知らせ🎎

✨🦷2月無料相談会のお知らせ🍪🍫
  • スタッフブログ
  • 2026.01.24

✨🦷2月無料相談会のお知らせ🍪🍫

🔔年末年始(12/28-1/4)休診日のお知らせ🌅
  • スタッフブログ
  • 2025.12.27

🔔年末年始(12/28-1/4)休診日のお知らせ🌅

🎍1月無料相談会のお知らせ🐎
  • スタッフブログ
  • 2025.12.27

🎍1月無料相談会のお知らせ🐎

🍠11月無料相談会のお知らせ🍂
  • スタッフブログ
  • 2025.10.24

🍠11月無料相談会のお知らせ🍂

🎃10月無料相談会のお知らせ🎃
  • スタッフブログ
  • 2025.10.01

🎃10月無料相談会のお知らせ🎃

9月無料相談会空き状況(^^♪
  • スタッフブログ
  • 2025.09.17

9月無料相談会空き状況(^^♪

例紹介

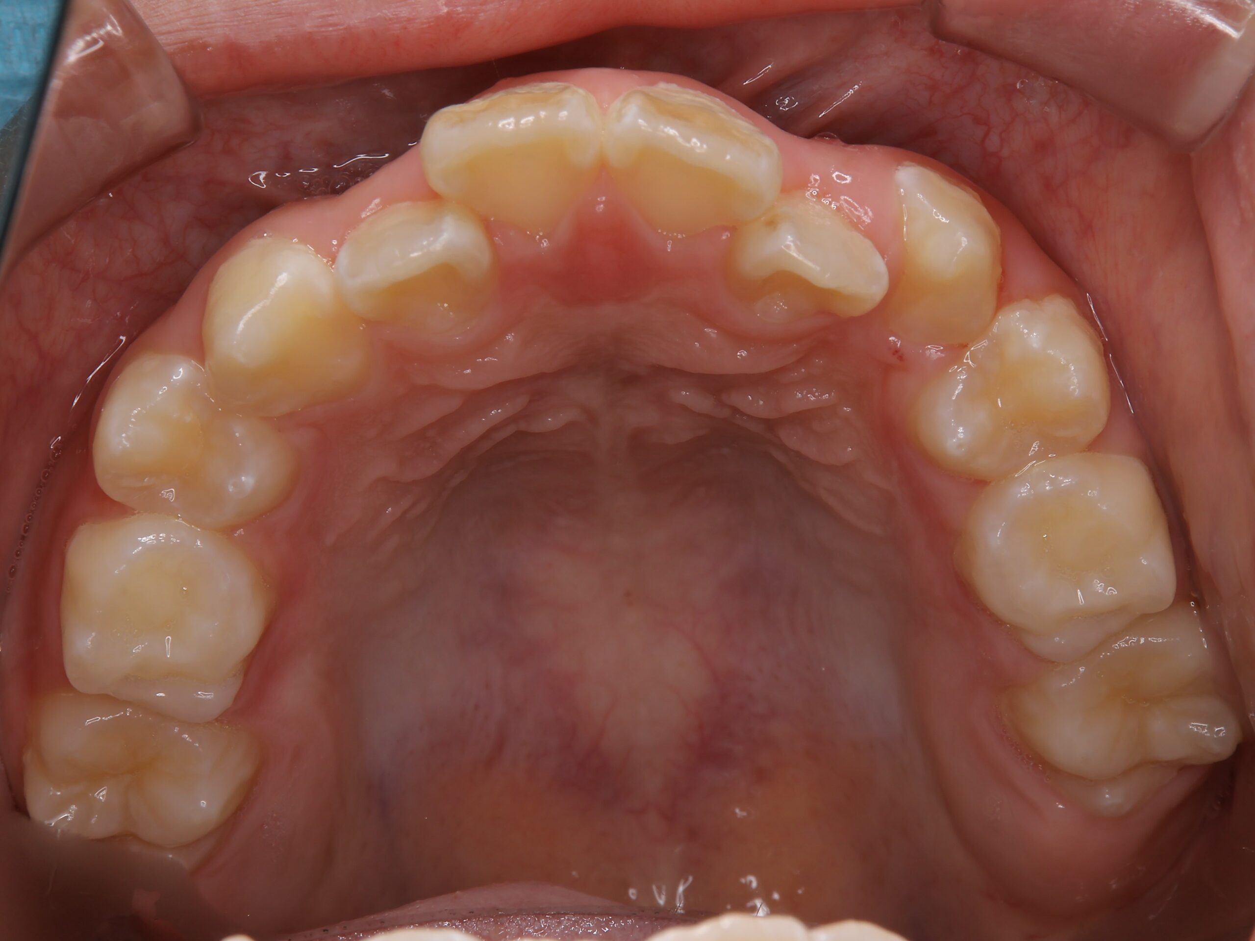
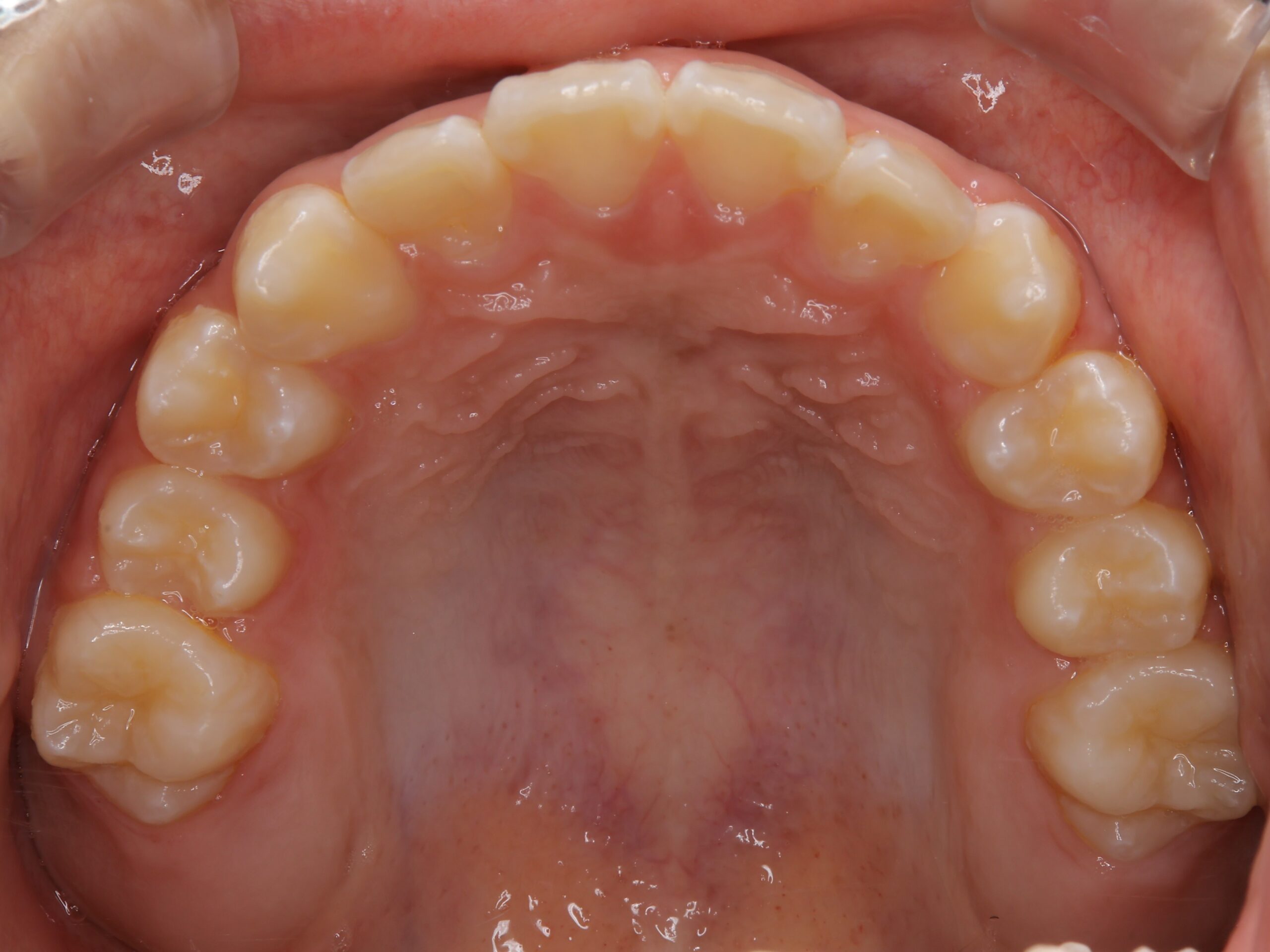
子どものガタガタ治療(歯列矯正用咬合誘導装置(マイオブレース)とBWS、アクティビティ併用) 子どものガタガタ治療(歯列矯正用咬合誘導装置(マイオブレース)とBWS、アクティビティ併用)
  • 症例紹介
  • 2025.10.11

子どものガタガタ治療(歯列矯正用咬合誘導装置(マイオブレース)とBWS、アクティビティ併用)

子どものガタガタ治療(拡大床装置+マウスピース型カスタマイズ矯正装置) 子どものガタガタ治療(拡大床装置+マウスピース型カスタマイズ矯正装置)
  • 症例紹介
  • 2025.09.05

子どものガタガタ治療(拡大床装置+マウスピース型カスタマイズ矯正装置)

子どもの前歯反対咬合(LA+フェイシャルマスク) 子どもの前歯反対咬合(LA+フェイシャルマスク)
  • 症例紹介
  • 2025.07.14

子どもの前歯反対咬合(LA+フェイシャルマスク)

子供の出っ歯と下顎のガタガタ治療(歯列矯正用咬合誘導装置(マイオブレース)とアクティビティ併用) 子供の出っ歯と下顎のガタガタ治療(歯列矯正用咬合誘導装置(マイオブレース)とアクティビティ併用)
  • 症例紹介
  • 2025.03.10

子供の出っ歯と下顎のガタガタ治療(歯列矯正用咬合誘導装置(マイオブレース)とアクティビティ併用)

子供の出っ歯と歯のスペースが足りない治療(Vキッズ) 子供の出っ歯と歯のスペースが足りない治療(Vキッズ)
  • 症例紹介
  • 2025.03.07

子供の出っ歯と歯のスペースが足りない治療(Vキッズ)

子供の開咬治療(拡大床装置) 子供の開咬治療(拡大床装置)
  • 症例紹介
  • 2025.03.02

子供の開咬治療(拡大床装置)

大人のガタガタと反対咬合治療(マウスピース型カスタマイズ矯正装置) 大人のガタガタと反対咬合治療(マウスピース型カスタマイズ矯正装置)
  • 症例紹介
  • 2025.02.28

大人のガタガタと反対咬合治療(マウスピース型カスタマイズ矯正装置)

中学生のガタガタ治療(LA+マウスピース型カスタマイズ矯正装置) 中学生のガタガタ治療(LA+マウスピース型カスタマイズ矯正装置)
  • 症例紹介
  • 2025.02.26

中学生のガタガタ治療(LA+マウスピース型カスタマイズ矯正装置)