症例紹介

大人の出っ歯治療(マウスピース型カスタマイズ矯正装置) 大人の出っ歯治療(マウスピース型カスタマイズ矯正装置)
  • 症例紹介
  • 2025.02.25

大人の出っ歯治療(マウスピース型カスタマイズ矯正装置)

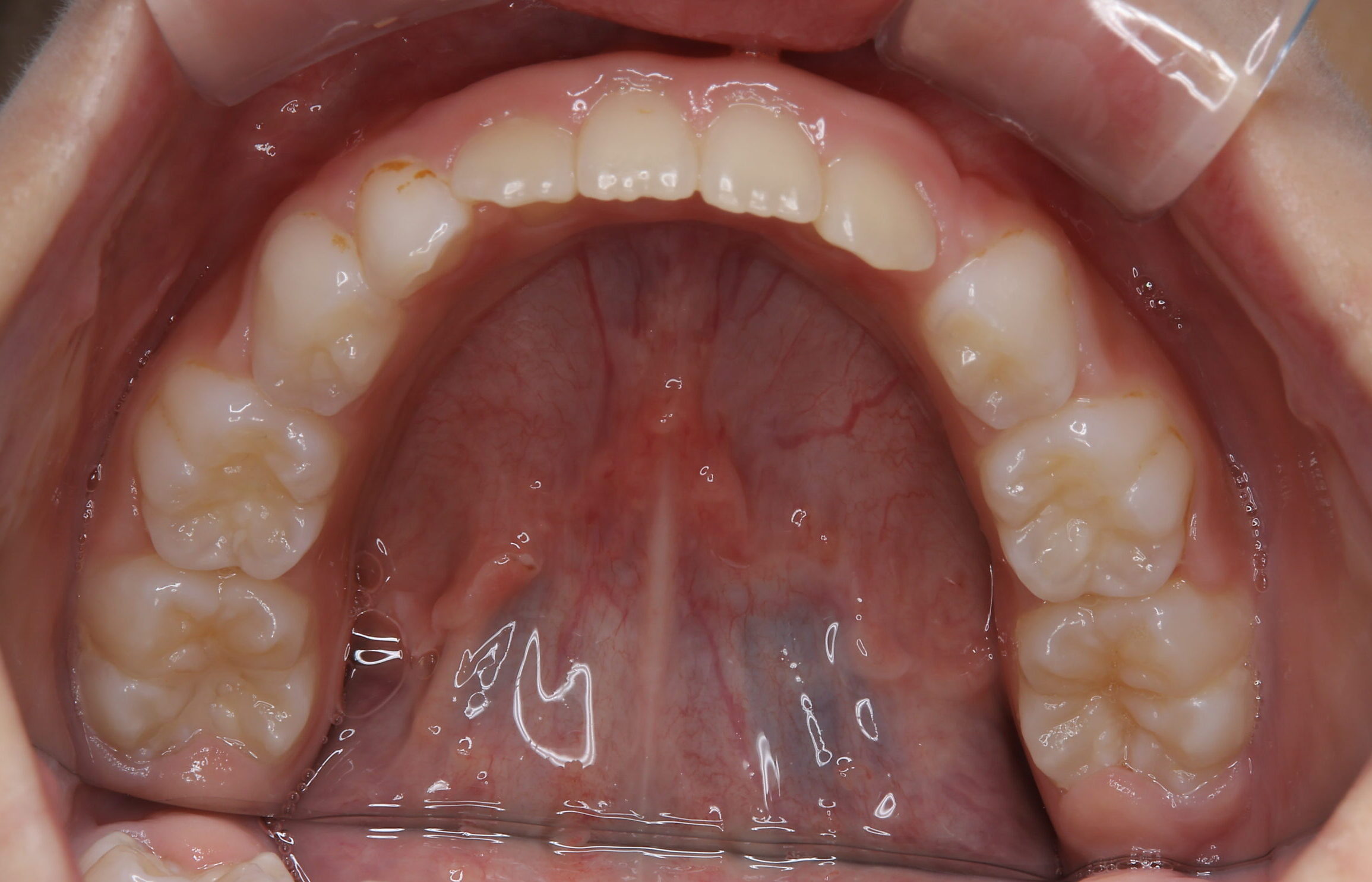
大人のガタガタと開咬治療(マウスピース型カスタマイズ矯正装置) 大人のガタガタと開咬治療(マウスピース型カスタマイズ矯正装置)
  • 症例紹介
  • 2025.02.18

大人のガタガタと開咬治療(マウスピース型カスタマイズ矯正装置)

子供の歯のスペースが足りない治療(歯列矯正用咬合誘導装置(マイオブレース)とアクティビティ併用) 子供の歯のスペースが足りない治療(歯列矯正用咬合誘導装置(マイオブレース)とアクティビティ併用)
  • 症例紹介
  • 2025.02.15

子供の歯のスペースが足りない治療(歯列矯正用咬合誘導装置(マイオブレース)とアクティビティ併用)

子供のガタガタ治療(歯列矯正用咬合誘導装置(マイオブレース)とアクティビティ併用とBWS) 子供のガタガタ治療(歯列矯正用咬合誘導装置(マイオブレース)とアクティビティ併用とBWS)
  • 症例紹介
  • 2025.02.13

子供のガタガタ治療(歯列矯正用咬合誘導装置(マイオブレース)とアクティビティ併用とBWS)

大人ガタガタ治療(マウスピース型カスタマイズ矯正装置) 大人ガタガタ治療(マウスピース型カスタマイズ矯正装置)
  • 症例紹介
  • 2025.02.12

大人ガタガタ治療(マウスピース型カスタマイズ矯正装置)

子供のガタガタ治療(歯列矯正用咬合誘導装置(マイオブレース)とアクティビティ併用) 子供のガタガタ治療(歯列矯正用咬合誘導装置(マイオブレース)とアクティビティ併用)
  • 症例紹介
  • 2025.02.10

子供のガタガタ治療(歯列矯正用咬合誘導装置(マイオブレース)とアクティビティ併用)

子供のガタガタ治療(歯列矯正用咬合誘導装置(マイオブレース)とアクティビティ併用とBB1) 子供のガタガタ治療(歯列矯正用咬合誘導装置(マイオブレース)とアクティビティ併用とBB1)
  • 症例紹介
  • 2025.02.08

子供のガタガタ治療(歯列矯正用咬合誘導装置(マイオブレース)とアクティビティ併用とBB1)

子供の反対咬合とガタガタの治療(歯列矯正用咬合誘導装置(マイオブレース)とアクティビティ併用) 子供の反対咬合とガタガタの治療(歯列矯正用咬合誘導装置(マイオブレース)とアクティビティ併用)
  • 症例紹介
  • 2025.02.07

子供の反対咬合とガタガタの治療(歯列矯正用咬合誘導装置(マイオブレース)とアクティビティ併用)